오수유 추출물, 난소 독성 보호와 조기난소 부전 개선에 탁월 > 한약재 뉴스

본문 바로가기

고객과의 신뢰는 좋은 약재로부터, 화성생약

All that herb, Hwasung Herb

오수유 추출물, 난소 독성 보호와 조기난소 부전 개선에 탁월

페이지 정보

작성일작성일.2018-07-10 작성자 작성자.화성생약 조회조회.4,301

본문

동국대일산한방병원, 조기난소부전 예방을 위한 특허 획득
갱년기장애‧조기 폐경‧생식기능 조기 감퇴 예방 및 치료에 활용

동국대

[한의신문=김대영 기자] 오수유 추출물이 난소 독성 보호와 조기난소 부전 개선에 탁월한 효과가 있는 것으로 확인됐다.

최근 동국대학교일산한방병원은 동국대일산한방병원 여성의학과 김동일 교수와 동국대 한의과대학 이주희 교수가 공동으로 연구한 결과를 바탕으로 ‘난독성 보호 활성을 갖는 오수유 추출물을 포함하는 조기난소부전 예방 및 치료용 조성물’에 대한 특허를 획득했다고 밝혔다.

난독성 혹은 난소독성은 난소에 미치는 독성 작용을 말하는 것으로 스트레스 등 자체적 산화물질 생성과 환경오염, 약물 오남용, 환경호르몬에 의한 독성물질이 난소의 내분비 기능 및 생식세포(난자) 생성을 억제하거나 저하시킨다.
이에 난임을 비롯한 부인과 질환에 사용되고 있는 한약인 오수유에서 추출한 물질이 난소 기능의 손상을 보호하는 데 효과가 있음을 규명하고 난소 독성에 의한 조기 난소부전 예방에 대한 특허를 취득한 것이다.

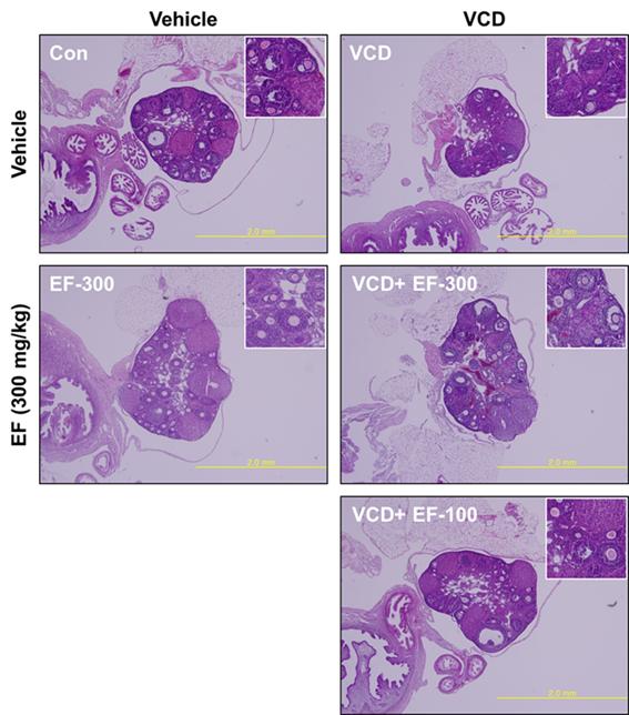
연구진에 따르면 오수유 추물이 난소 세포의 사멸(apoptosis)을 억제하고 세포 신호 전달 경로(PI3K/AKT)를 활성화해 대표적인 난소 독성 물질인 VCD(4-vinyl cyclohexene diepoxide)로 유발시킨 난소 조직 손상과 난소 기능 저하를 보호한다는 사실을 확인했다.
또 오수유 추출물이 농도 의존적으로 DPPH(diphenyl picrylhy drazyl)가 인체내부에서 산화작용을 하는 자유기를 제거하는 것을 활성화시켜 항산화 작용이 매우 우수한 것으로 밝혀졌다.

따라서 오수유 추출물은 난소의 독성 보호와 조기난소 부전 등의 개선 및 예방, 억제 또는 치료에 유용한 의약품으로 사용될 수 있다는 설명이다.

김동일 교수는 “이번 연구를 통해 임상 적용 사례로 난임의 치료와 예방 갱년기장애 예방, 조기폐경 예방, 생식기능 조기 감퇴 예방 및 치료 등에 활용될 수 있을 것”이라며 “갱년기장애, 조기폐경, 난임 등 질환의 일반 임상에도 적용할 수 있을 뿐만 아니라 관련 신약 개발에도 응용할 수 있을 것”이라고 밝혔다.

글쓰기
목록
이용약관개인정보처리방침 닫기

저희 "화성생약" 는/은 (이하 '회사'는) 고객님의 개인정보를 중요시하며, "정보통신망 이용촉진 및 정보보호"에 관한 법률을 준수하고 있습니다. 회사는 개인정보처리방침을 통하여 고객님께서 제공하시는 개인정보가 어떠한 용도와 방식으로 이용되고 있으며, 개인정보보호를 위해 어떠한 조치가 취해지고 있는지 알려드립니다.




개인정보처리방침을 개정하는 경우 웹사이트 공지사항(또는 개별공지)을 통하여 공지할 것입니다.


본 방침은 : 2013 년 05 월 01 일 부터 시행됩니다.




■ 수집하는 개인정보 항목


회사는 회원가입, 상담, 서비스 신청 등등을 위해 아래와 같은 개인정보를 수집하고 있습니다.




수집항목


이름 , 생년월일 , 성별 , 로그인ID , 비밀번호 , 비밀번호 질문과 답변 , 자택 전화번호 , 자택 주소 , 휴대전화번호 , 이메일 , 서비스 이용기록 , 접속 로그 , 쿠키 , 접속 IP 정보 , 결제기록








개인정보 수집방법


홈페이지(회원가입 및 상품주문) , 경품 행사 응모 , 배송 요청






■ 개인정보의 수집 및 이용목적


회사는 수집한 개인정보를 다음의 목적을 위해 활용합니다.


- 서비스 제공에 관한 계약 이행 및 서비스 제공에 따른 요금정산


- 콘텐츠 제공 , 구매 및 요금 결제 , 물품배송 또는 청구지 등 발송 , 금융거래 본인 인증 및 금융 서비스


- 회원제 서비스 이용에 따른 본인확인 , 개인 식별


- 불량회원의 부정 이용 방지와 비인가 사용 방지 , 가입 의사 확인 , 연령확인 , 불만 등 민원처리 , 고지사항 전달


- 마케팅 및 광고에 활용


- 접속 빈도 파악 또는 회원의 서비스 이용에 대한 통계




■ 개인정보의 보유 및 이용기간


원칙적으로, 개인정보 수집 및 이용목적이 달성된 후에는 해당 정보를 지체 없이 파기합니다. 단, 다음의 정보에 대해서는 아래의 이유로 명시한 기간 동안 보존합니다.




보존 항목 : 로그인ID


보존 근거 : 재가입, 특정회원 사칭 방지 목적


보존 기간 : 5년




그리고 관계법령의 규정에 의하여 보존할 필요가 있는 경우 회사는 아래와 같이 관계법령에서 정한 일정한 기간 동안 회원정보를 보관합니다.


보존 항목 : 이름 , 생년월일 , 성별 , 회사명 , 회사전화번호


보존 근거 : 신용정보의 이용 및 보호에 관한 법률


보존 기간 : 1년


보존 항목 : 비밀번호 , 비밀번호 질문과 답변 , 전화번호 , 주소 , 휴대전화번호 , 이메일 , 주민등록번호 , 서비스 이용기록


보존 근거 : 전자상거래등에서의 소비자보호에 관한 법률


보존 기간 : 1년


보존 항목 : 접속 로그 , 쿠키 , 접속 IP 정보


보존 근거 : 전자상거래등에서의 소비자보호에 관한 법률


보존 기간 : 3년






보존 항목 : 결제기록


보존 근거 : 전자상거래등에서의 소비자보호에 관한 법률


보존 기간 : 5년




계약 또는 청약철회 등에 관한 기록 : 5년 (전자상거래등에서의 소비자보호에 관한 법률)


대금결제 및 재화 등의 공급에 관한 기록 : 5년 (전자상거래등에서의 소비자보호에 관한 법률)


소비자의 불만 또는 분쟁처리에 관한 기록 : 3년 (전자상거래등에서의 소비자보호에 관한 법률)


신용정보의 수집/처리 및 이용 등에 관한 기록 : 3년 (신용정보의 이용 및 보호에 관한 법률)






■ 개인정보의 파기절차 및 방법


회사는 원칙적으로 개인정보 수집 및 이용목적이 달성된 후에는 해당 정보를 지체없이 파기합니다. 파기절차 및 방법은 다음과 같습니다.


파기절차


회원님이 회원가입 등을 위해 입력하신 정보는 목적이 달성된 후 별도의 DB로 옮겨져(종이의 경우 별도의 서류함) 내부 방침 및 기타 관련 법령에 의한 정보보호 사유에 따라(보유 및 이용기간 참조) 일정 기간 저장된 후 파기되어집니다. 


별도 DB로 옮겨진 개인정보는 법률에 의한 경우가 아니고서는 보유되어지는 이외의 다른 목적으로 이용되지 않습니다.


파기방법


전자적 파일형태로 저장된 개인정보는 기록을 재생할 수 없는 기술적 방법을 사용하여 삭제합니다.




■ 개인정보 제공


회사는 이용자의 개인정보를 원칙적으로 외부에 제공하지 않습니다. 다만, 아래의 경우에는 예외로 합니다.


- 이용자들이 사전에 동의한 경우


- 법령의 규정에 의거하거나, 수사 목적으로 법령에 정해진 절차와 방법에 따라 수사기관의 요구가 있는 경우




■ 수집한 개인정보의 위탁




회사는 고객님의 동의없이 고객님의 정보를 외부 업체에 위탁하지 않습니다. 향후 그러한 필요가 생길 경우, 위탁 대상자와 위탁 업무 내용에 대해 고객님에게 통지하고 필요한 경우 사전 동의를 받도록 하겠습니다.












■ 이용자 및 법정대리인의 권리와 그 행사방법


이용자 및 법정 대리인은 언제든지 등록되어 있는 자신 혹은 당해 만 14세 미만 아동의 개인정보를 조회하거나 수정할 수 있으며 가입해지를 요청할 수도 있습니다. 




이용자 혹은 만 14세 미만 아동의 개인정보 조회?수정을 위해서는 '개인정보변경'(또는 '회원정보수정' 등)을 가입해지(동의철회)를 위해서는 "회원탈퇴"를 클릭하여 본인 확인 절차를 거치신 후 직접 열람, 정정 또는 탈퇴가 가능합니다. 




혹은 개인정보보호책임자에게 서면, 전화 또는 이메일로 연락하시면 지체없이 조치하겠습니다. 귀하가 개인정보의 오류에 대한 정정을 요청하신 경우에는 정정을 완료하기 전까지 당해 개인정보를 이용 또는 제공하지 않습니다. 




또한 잘못된 개인정보를 제3자에게 이미 제공한 경우에는 정정 처리결과를 제3자에게 지체없이 통지하여 정정이 이루어지도록 하겠습니다. 회사는 이용자 혹은 법정 대리인의 요청에 의해 해지 또는 삭제된 개인정보는 




"회사가 수집하는 개인정보의 보유 및 이용기간"에 명시된 바에 따라 처리하고 그 외의 용도로 열람 또는 이용할 수 없도록 처리하고 있습니다. 








■ 개인정보 자동수집 장치의 설치, 운영 및 그 거부에 관한 사항


회사는 귀하의 정보를 수시로 저장하고 찾아내는 '쿠키(cookie)' 등을 운용합니다. 쿠키란 oo의 웹사이트를 운영하는데 이용되는 서버가 귀하의 브라우저에 보내는 아주 작은 텍스트 파일로서 귀하의 컴퓨터 하드디스크에 저장됩니다. 




회사은(는) 다음과 같은 목적을 위해 쿠키를 사용합니다. 




쿠키 등 사용 목적


회원과 비회원의 접속 빈도나 방문 시간 등을 분석, 이용자의 취향과 관심분야를 파악 및 자취 추적, 각종 이벤트 참여 정도 및 방문 회수 파악 등을 통한 타겟 마케팅 및 개인 맞춤 서비스 제공 




귀하는 쿠키 설치에 대한 선택권을 가지고 있습니다. 따라서, 귀하는 웹브라우저에서 옵션을 설정함으로써 모든 쿠키를 허용하거나, 쿠키가 저장될 때마다 확인을 거치거나, 아니면 모든 쿠키의 저장을 거부할 수도 있습니다. 






쿠키 설정 거부 방법


예: 쿠키 설정을 거부하는 방법으로는 회원님이 사용하시는 웹 브라우저의 옵션을 선택함으로써 모든 쿠키를 허용하거나 쿠키를 저장할 때마다 확인을 거치거나, 모든 쿠키의 저장을 거부할 수 있습니다. 




설정방법 예(인터넷 익스플로어의 경우)


: 웹 브라우저 상단의 도구 > 인터넷 옵션 > 개인정보


(단, 귀하께서 쿠키 설치를 거부하였을 경우 서비스 제공에 어려움이 있을 수 있습니다.)








■ 개인정보에 관한 민원서비스


회사는 고객의 개인정보를 보호하고 개인정보와 관련한 불만을 처리하기 위하여 아래와 같이 관련 부서 및 개인정보보호책임자를 지정하고 있습니다.




고객서비스담당 부서 : 화성생약 고객센터


전화번호 : 010-8070-8849


이메일 : 




개인정보보호책임자 :화성생약 고객센터


전화번호 : 010-8070-8849


이메일 : 






귀하께서는 회사의 서비스를 이용하시며 발생하는 모든 개인정보보호 관련 민원을 개인정보보호책임자 혹은 담당부서로 신고하실 수 있습니다. 회사는 이용자들의 신고사항에 대해 신속하게 충분한 답변을 드릴 것입니다. 




기타 개인정보침해에 대한 신고나 상담이 필요하신 경우에는 아래 기관에 문의하시기 바랍니다. 






1.개인정보침해신고센터 (www.1336.or.kr/국번없이 118)


2.정보보호마크인증위원회 (www.eprivacy.or.kr/02-580-0533~4)


3.대검찰청 인터넷범죄수사센터 (http://icic.sppo.go.kr/02-3480-3600)


4.경찰청 사이버테러대응센터 (www.ctrc.go.kr/02-392-0330)

이용약관이용약관 닫기

제 1 장 총칙



제 1 조 (목적)



본 약관은 화성생약이 운영하는 웹 사이트 (http://hwasung2020.baraem.net/)의 제반 서비스의 이용조건 및 절차에 관한 사항 및 기타 필요한 사항을 규정함을 목적으로 한다.



제 2 조 (용어의 정의)



본 약관에서 사용하는 용어는 다음과 같이 정의한다. 



①회원 : 기본 회원 정보를 입력하였고, 회사와 서비스 이용계약을 체결하여 아이디를 부여받은 개인



②아이디(ID) : 회원식별과 회원의 서비스 이용을 위해 회원이 선정하고 회사가 승인하는 문자와 숫자의 조합



③비밀번호(Password) : 회원이 통신상의 자신의 비밀을 보호하기 위해 선정한 문자와 숫자의 조합



④해지 : 회사 또는 회원에 의한 이용계약의 종료



제 3 조 (약관의 공시 및 효력과 변경)


①본 약관은 회원가입 화면에 게시하여 공시하며 회사는 사정변경 및 영업상 중요한 사유가 있을 경우 약관을 변경할 수 있으며 변경된 약관은 공지사항을 통해 공시한다


②본 약관 및 차후 회사사정에 따라 변경된 약관은 이용자에게 공시함으로써 효력을 발생한다. 



제 4 조 (약관 외 준칙)


본 약관에 명시되지 않은 사항이 전기통신기본법, 전기통신사업법, 정보통신촉진법, ‘전자상거래등에서의 소비자 보호에 관한 법률’, ‘약관의 규제에관한법률’, ‘전자거래기본법’, ‘전자서명법’, ‘정보통신망 이용촉진등에 관한 법률’, ‘소비자보호법’ 등 기타 관계 법령에 규정되어 있을 경우에는 그 규정을 따르도록 한다.



제 2 장 이용계약



제 5 조 (이용신청) 


①이용신청자가 회원가입 안내에서 본 약관과 개인정보보호정책에 동의하고 등록절차(회사의 소정 양식의 가입 신청서 작성)를 거쳐 '확인' 버튼을 누르면 이용신청을 할 수 있다.


②이용신청자는 반드시 실명과 실제 정보를 사용해야 하며 1개의 생년월일에 대하여 1건의 이용신청을 할 수 있다. 


③실명이나 실제 정보를 입력하지 않은 이용자는 법적인 보호를 받을 수 없으며, 서비스 이용에 제한을 받을 수 있다. 


제 6 조 (이용신청의 승낙) 


①회사는 제5조에 따른 이용신청자에 대하여 제2항 및 제3항의 경우를 예외로 하여 서비스 이용을 승낙한다.




②회사는 아래 사항에 해당하는 경우에 그 제한사유가 해소될 때까지 승낙을 유보할 수 있다.




  가. 서비스 관련 설비에 여유가 없는 경우




  나. 기술상 지장이 있는 경우




  다. 기타 회사 사정상 필요하다고 인정되는 경우




③회사는 아래 사항에 해당하는 경우에 승낙을 하지 않을 수 있다.




  가. 다른 사람의 명의를 사용하여 신청한 경우




  나. 이용자 정보를 허위로 기재하여 신청한 경우




  다. 사회의 안녕질서 또는 미풍양속을 저해할 목적으로 신청한 경우




  라. 기타 회사가 정한 이용신청 요건이 미비한 경우












제 3 장 계약 당사자의 의무








제 7 조 (회사의 의무)




①회사는 사이트를 안정적이고 지속적으로 운영할 의무가 있다.




②회사는 이용자로부터 제기되는 의견이나 불만이 정당하다고 인정될 경우에는 즉시 처리해야 한다. 단, 즉시 처리가 곤란한 경우에는 이용자에게 그 사유와 처리일정을 공지사항 또는 전자우편을 통해 통보해야 한다.




③제1항의 경우 수사상의 목적으로 관계기관 및 정보통신윤리위원회의 요청이 있거나 영장 제시가 있는 경우, 기타 관계 법령에 의한 경우는 예외로 한다.








제 8 조 (이용자의 의무)




①이용자는 본 약관 및 회사의 공지사항, 사이트 이용안내 등을 숙지하고 준수해야 하며 기타 회사의 업무에 방해되는 행위를 해서는 안된다.




②이용자는 회사의 사전 승인 없이 본 사이트를 이용해 어떠한 영리행위도 할 수 없다.




③이용자는 본 사이트를 통해 얻는 정보를 회사의 사전 승낙 없이 복사, 복제, 변경, 번역, 출판, 방송 및 기타의 방법으로 사용하거나 이를 타인에게 제공할 수 없다.








제 4 장 서비스의 제공 및 이용








제 9 조 (서비스 이용)




①이용자는 본 약관의 규정된 사항을 준수해 사이트를 이용한다.




②본 약관에 명시되지 않은 서비스 이용에 관한 사항은 회사가 정해 '공지사항'에 게시하거나 또는 별도로 공지하는 내용에 따른다.








제 10 조 (정보의 제공)




회사는 회원이 서비스 이용 중 필요하다고 인정되는 다양한 정보에 대하여 전자메일이나 서신우편 등의 방법으로 회원에게 정보를 제공할 수 있다.








제 11 조 (광고게재)




①회사는 서비스의 운용과 관련하여 서비스 화면, 홈페이지, 전자우편 등에 광고 등을 게재할 수 있다.




②회사는 사이트에 게재되어 있는 광고주의 판촉활동에 회원이 참여하거나 교신 또는 거래의 결과로서 발생하는 모든 손실 또는 손해에 대해 책임을 지지 않는다.








제 12 조 (서비스 이용의 제한)




본 사이트 이용 및 행위가 다음 각 항에 해당하는 경우 회사는 해당 이용자의 이용을 제한할 수 있다.




①공공질서 및 미풍양속, 기타 사회질서를 해하는 경우




②범죄행위를 목적으로 하거나 기타 범죄행위와 관련된다고 객관적으로 인정되는 경우




③타인의 명예를 손상시키거나 타인의 서비스 이용을 현저히 저해하는 경우




④타인의 의사에 반하는 내용이나 광고성 정보 등을 지속적으로 전송하는 경우




⑤해킹 및 컴퓨터 바이러스 유포 등으로 서비스의 건전한 운영을 저해하는 경우




⑥다른 이용자 또는 제3자의 지적재산권을 침해하거나 지적재산권자가 지적 재산권의 침해를 주장할 수 있다고 판단되는 경우




⑦타인의 아이디 및 비밀번호를 도용한 경우




⑧기타 관계 법령에 위배되는 경우 및 회사가 이용자로서 부적당하다고 판단한 경우








제 13 조 (서비스 제공의 중지)




회사는 다음 각 호에 해당하는 경우 서비스의 전부 또는 일부의 제공을 중지할 수 있다.




①전기통신사업법 상에 규정된 기간통신 사업자 또는 인터넷 망 사업자가 서비스를 중지했을 경우




②정전으로 서비스 제공이 불가능할 경우




③설비의 이전, 보수 또는 공사로 인해 부득이한 경우




④서비스 설비의 장애 또는 서비스 이용의 폭주 등으로 정상적인 서비스 제공이 어려운 경우




⑤전시, 사변, 천재지변 또는 이에 준하는 국가비상사태가 발생하거나 발생할 우려가 있는 경우








제 14 조 (게시물 관리)




회사는 건전한 통신문화 정착과 효율적인 사이트 운영을 위하여 이용자가 게시하거나 제공하는 자료가 제12조에 해당한다고 판단되는 경우에 임의로 삭제, 자료이동, 등록거부를 할 수 있다.








제 15 조 (서비스 이용 책임)




이용자는 회사에서 권한 있는 사원이 서명한 명시적인 서면에 구체적으로 허용한 경우를 제외하고는 서비스를 이용하여 불법상품을 판매하는 영업활동을 할 수 없으며 특히 해킹, 돈벌기 광고, 음란 사이트를 통한 상업행위, 상용 S/W 불법제공 등을 할 수 없다. 이를 어기고 발생한 영업활동의 결과 및 손실, 관계기관에 의한 구속 등 법적 조치 등에 관해서는 회사가 책임을 지지 않는다.








제 6 장 기타




제 19 조 (면책 및 손해배상)




①천재지변 또는 이에 준하는 불가항력으로 인하여 서비스를 제공할 수 없는 경우에는 회사의 서비스 제공 책임이 면제된다.




②회사는 이용자간 또는 이용자와 제3자간의 상호거래 관계에서 발생되는 결과에 대하여 어떠한 책임도 부담하지 않는다.




③회사는 이용자가 게시판에 게재한 정보, 자료, 내용 등에 관하여 사실의 정확성, 신뢰도 등에 어떠한 책임도 부담하지 않으며 이용자는 본인의 책임 아래 본 사이트를 이용해야 한다.




④이용자가 게시 또는 전송한 자료 등에 관하여 손해가 발생하거나 자료의 취사선택, 기타 무료로 제공되는 서비스 이용과 관련해 어떠한 불이익이 발생하더라도 이에 대한 모든 책임은 이용자에게 있다.




⑤아이디와 비밀번호의 관리 및 이용자의 부주의로 인하여 발생되는 손해 또는 제3자에 의한 부정사용 등에 대한 책임은 이용자에게 있다.




⑥이용자가 본 약관의 규정을 위반함으로써 회사에 손해가 발생하는 경우 이 약관을 위반한 이용자는 회사에 발생한 모든 손해를 배상해야 하며 동 손해로부터 회사를 면책시켜야 한다.








제 20 조 (개인신용정보 제공 및 활용에 대한 동의서)








회사가 회원 가입과 관련해 취득한 개인 신용 정보는 신용정보의 이용 및 보호에 관한 법률 제23조의 규정에 따라 타인에게 제공 및 활용 시 이용자의 동의를 얻어야 한다. 이용자의 동의는 회사가 회원으로 가입한 이용자의  신용정보를 신용정보기관, 신용정보업자 및 기타 이용자 등에게 제공해 이용자의 신용을 판단하기 위한 자료로서 활용하거나 공공기관에서 정책자료로 활용하는데 동의하는 것으로 간주한다.












제 21 조 (분쟁의 해결)








①회사와 이용자는 본 사이트 이용과 관련해 발생한 분쟁을 원만하게 해결하기 위하여 필요한 모든 노력을 해야 한다.








②제1항의 규정에도 불구하고 동 분쟁으로 인하여 소송이 제기될 경우 동 소송은 회사의 본사 소재지를 관할하는 법원의 관할로 본다.
















<부칙>








본 약관은 2017년 07월 1일부터 적용한다.